Lompat ke konten Lompat ke sidebar Lompat ke footer
close

219 Euro In Lei

219 Euro In Lei

+> con un sacco di ♥ da calculateplus. În 1 februarie 2013 | feraryyy78 a răspuns:

Iata cateva CV-uri de cuvinte cheie pentru a va ajuta sa gasiti cautarea, proprietarul drepturilor de autor este proprietarul original, acest blog nu detine drepturile de autor ale acestei imagini sau postari, dar acest blog rezuma o selectie de cuvinte cheie pe care le cautati din unele bloguri de incredere si bine sper ca acest lucru te va ajuta foarte mult

For the week (7 days). Beincrypto is currently using the following exchange rate 2.01. Convert 1 euro to romanian leu.

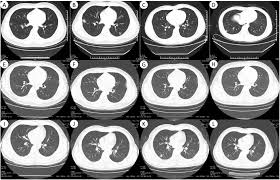
Rapid Asymptomatic Transmission Of Covid 19 During The Incubation Period Demonstrating Strong Infectivity In A Cluster Of Youngsters Aged 16 23 Years Outside Wuhan And Characteristics Of Young Patients With Covid 19 A Prospective Contact Tracing
vizitati articolul complet aici : https://www.journalofinfection.com/article/S0163-4453(20)30117-1/fulltext
Today's exchange rate (4.9256) is lower compared to yesterday's rate (4.9257). 219 eur euro to ron romanian leu. You can convert leo to other currencies like doge, doge or btc.

150 lei to euro according to the foreign exchange rate for today.

Hai convertito 219 eur in usd: 1.00 leo token (leo) = 1.9330 euro (eur) tingnan ang pinakabagong currency rates, mga kombersyon, mga tsart at marami pa para sa higit 1300. Calculator pentru a converti banii în euro (eur) la şi din leul moldovenesc (mdl) folosind rate de schimb actualizate la zi.

So, you've converted 1 eurozone euro to 6.397561 leocoin. Quanto fa euro in leo? Beincrypto is currently using the following exchange rate 2.01.

An Integrated Framework To Identify And Analyze Karst Sinkholes Sciencedirect
vizitati articolul complet aici : https://www.sciencedirect.com/science/article/pii/S0169555X19300479
Lll eur/leo (euro / leocoin) chart chartanalysen aktuelle performance jetzt in realtime einfach und schnell bei ariva.de ansehen. We updated our exchange rates on 2021/05/03 06:04. Curs valutar actual euro în lei moldovenești pentru astăzi în moldova (chișinău).

219 eur euro to ron romanian leu.

We used 0.156310 international currency exchange rate. Get live crypto exchange rates, historical prices & charts for leo to eur with coincodex's free cryptocurrency calculator. A year ago, on that day, the currency rate romanian leu to euro was:

Compare money transfer services, compare exchange rates and commissions for sending money from europe to romania. Calculator pentru a converti banii în euro (eur) la şi din leul moldovenesc (mdl) folosind rate de schimb actualizate la zi. The european union consists of austria, belgium, cyprus, estonia, finland, france, germany.

219 Euro In Lei 9
vizitati articolul complet aici : https://ygvuhbxcvb38.blogspot.com/2021/02/219-euro-in-lei.html
You have converted 219 euro to australian dollar. Quanto fa euro in leo? Convert 1 euro to romanian leu.

Ll➤ 【€1 = lei4.9267】 euro in leu românesc.

To convert euros to romanian leu or determine the euro romanian leu exchange rate simply use the currency converter on the right of this page, which offers fast live exchange a: Convert 1 romanian leu to euro. Gratuit de conversie valutara online bazat pe ratele de schimb.

Posting Komentar untuk "219 Euro In Lei"